つめ物・かぶせ物(審美歯科)の症例一覧
歯の見た目・咬み合わせをラミネートベニアで改善した症例

歯の見た目・咬み合わせをラミネートベニアで改善した症例 こちらの患者さまは歯の見た目が気になるとの主訴で来院されました。睡眠時無呼吸症候群もあり、なるべく歯を傷つけずに治療していきたいとの希望でしたので、患者さまと相談し […]
銀歯の虫歯治療後にセラミックで修復した症例

銀歯の虫歯治療後にセラミックで修復した症例 こちらの患者さまは右下の銀歯に虫歯があり、治療をすることになりました。 長持ちさせたいとのご希望でしたので、患者さまと相談し、セラミックのつめ物で修復する計画を立てました。 当 […]
インビザライン・ホワイトニングで歯の見た目を改善した症例

インビザライン・ホワイトニングで歯の見た目を改善した症例 咬み合わせが気になるとの主訴で来院された患者さまです。 患者さまと相談し、親知らずの抜歯後にマウスピース型矯正装置「インビザライン」で歯並び・咬み合わせを改善、左 […]
虫歯治療後にセラミックで修復した症例

虫歯治療後にセラミックで修復した症例 自覚症状はありませんが、右下に虫歯が確認できたため、虫歯治療後にセラミックで修復する計画を立てました。 セラミックの装着・治療完了 虫歯治療後、土台の歯の形を整えて型取りを行いました […]
前歯をセラミックとダイレクトボンディングで修復した症例

前歯をセラミックとダイレクトボンディングで修復した症例 前歯の色が気になるとの主訴で来院された患者さまです。右上2番と左上1番、右上1番は過去に治療し、修復されていました。根管治療なども行ない、右上2番と左上1番はセラミ […]
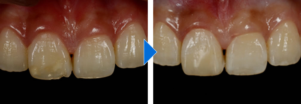
変色した前歯をダイレクトボンディングで改善した症例

変色した前歯をダイレクトボンディングで改善した症例 前歯の変色を主訴に来院された患者さまです。歯の切削量を最小限に抑えることができるダイレクトボンディングで修復し、見た目を改善しました。 年齢・性別 20代 男性 治療期 […]
変色した前歯をセラミッククラウンで改善した症例

変色した前歯をセラミッククラウンで改善した症例 変色した前歯を綺麗にしたいとの主訴で来院された患者さまです。虫歯も確認できたため、虫歯治療後にセラミッククラウンで修復し、歯の見た目を改善しました。 年齢・性別 20代 女 […]
見た目が気になる前歯をセラミッククラウンで修復した症例

見た目が気になる前歯をセラミッククラウンで修復した症例 前歯の見た目が気になるとの主訴で来院された患者さまです。患者さまと相談し、根管治療後にセラミッククラウンで修復する計画を立てました。 セラミッククラウン装着・治療完 […]
セラミックブリッジで治療した症例

上下の歯を抜歯後にセラミックブリッジで治療した症例 こちらの患者さまは左上下顎に虫歯が確認できました。どちらの歯も保存が難しいため、患者さまと相談してセラミックブリッジで治療することになりました。 セラミックブリッジ装着 […]
セラミックインレーの症例

虫歯治療後にセラミックで修復した症例 過去に治療してつめ物を入れた歯が再び虫歯になってしまった患者さまです。 右上5・6番の金属のつめ物下に虫歯が確認できました。 マイクロスコープを使用し、当該歯の状態を目で確認しながら […]





