入れ歯・義歯
このページの目次
見た目や機能性にこだわった快適な入れ歯の製作に努めております

吹田 いぬい歯科クリニックでは、入れ歯の見た目や噛み心地にこだわった快適な入れ歯の製作に努めております。患者さまのお口の状態やご要望を考慮し、適切な入れ歯をご提案いたします。初めての入れ歯治療や入れ歯の作り替えをご検討中の方はぜひお気軽ご相談ください。
当院はバリアフリー構造・訪問歯科診療にも対応!
吹田 いぬい歯科クリニックは足腰が弱い方や車いすなどでも負担なく通院いただけるよう、バリアフリー構造となっております。また、訪問歯科診療にも対応しておりますので、医院へ通院が困難な方については、歯科医師がご自宅や施設に伺い、入れ歯製作や調整なども行っております。
失った歯の治療方法について

インプラント治療
| 内容 | チタン製の人工歯根を外科手術で顎の骨に埋め込み、支台にして被せ物や特殊な入れ歯を装着して歯の機能を補います。 |
|---|---|
| メリット | 人工歯根が顎の骨に結合して安定すると硬い物でもしっかり噛めます美しく自然に仕上げられます |
| デメリット | 外科手術が必要です自費診療なので比較的高額になります治療期間が長めです |
ブリッジ治療
| 内容 | となりの歯を削って支台にして、橋(ブリッジ)のように連結した人工歯を装着して歯の機能を補います。 |
|---|---|
| メリット | 保険診療のブリッジは見た目が少し不自然になることがありますが比較的安価に比較的短期間での治療が可能です自費診療のブリッジは美しく自然に仕上げられます |
| デメリット | となりの健康な歯を削らなければなりません支台にする歯に大きな負担がかかり、その歯の寿命を縮めてしまいます |
入れ歯治療
| 内容 | 歯が残っている場合には部分入れ歯をつくり、歯がない場合には総入れ歯をつくります。取り外し可能です。 |
|---|---|
| メリット | 保険診療の入れ歯は比較的安価にそして比較的短期間で治療可能です自費診療の入れ歯は見た目や装着感にこだわることができます |
| デメリット | 保険診療の入れ歯は見た目が不自然なことがあります硬い物が噛みにくいことがあります刺激が伝わりにくいので顎の骨が痩せてしまいがちですバネをかける歯に大きな負担がかかりますある程度の大きさがあるので違和感があります食べ物の温度が伝わりにくいことがあります |
患者さまのご要望に適した入れ歯をご提案いたします

入れ歯は保険適用で製作できるものをはじめ、審美性や機能性にこだわった自費診療の入れ歯まで様々な種類が存在します。吹田 いぬい歯科クリニックでは、患者さまのお口の状態やご要望を考慮し、適切な入れ歯をご提案いたします。以下では、当院で製作可能な入れ歯の特徴についてご紹介いたします。
バネのないノンクラスプデンチャー

一般的な部分入れ歯は、残存歯にクラスプという金属のバネをひっかけて固定するため、お口を開けた際に金属が目立ってしまいます。一方、ノンクラスプデンチャーはクラスプ(金属のバネ)がなく、歯茎に似た色調の樹脂を残存歯に引っ掛けて固定するため、見た目が美しく、入れ歯であることが気づかれにくい設計となっています。
薄くて丈夫な金属床デンチャー

金属床デンチャーは、床と呼ばれる入れ歯の土台部分に生体親和性の高い金属を使用しています。金属を素材に使用することによって、耐久性を維持しながら、入れ歯を薄く製作することができるため、使用時の違和感・異物感が大幅に軽減されます。また、金属は熱伝導率が高いため、食べ物・飲み物の温度を感じながら食事を楽しむことができます。
磁力で固定するマグネットデンチャー

マグネットデンチャーは、神経を取り除いた歯根部分に磁性金属を埋め込み、入れ歯側に設置した磁石との引き合う力によって入れ歯を固定します。強力な磁力でしっかりと固定されているため、ずれたり、外れたりしづらく、快適な咀嚼が可能です。また、金属のバネもありませんので、見た目も自然です。
インプラントオーバーデンチャー

インプラントオーバーデンチャーは、顎骨に埋入したインプラントによって入れ歯を固定します。外科処置が必要になりますが、インプラントは顎骨と結合しているため、入れ歯が外れたり、ずれたりすることはほとんどなく、しっかり噛むことができます。もちろん審美性も高く、入れ歯だと気づかれにくい設計となっています。
コーヌスデンチャー

コーヌスデンチャーは、残存歯に接着した内冠と入れ歯側の外冠を嵌め込み、茶筒の原理を応用した摩擦の力で入れ歯を固定します。ズレたり、外れたりがほとんどなく、しっかりと噛むことができます。また、金属のバネなどもないため、見た目も綺麗です。
自費の部分入れ歯

1本~数本の欠損の場合には、部分入れ歯が適用となります。吹田 いぬい歯科クリニックでは、自費で製作する部分入れ歯(パーシャルデンチャー)も取り扱っておりますので、患者さまのお口の状態、ご要望等を考慮し、精密な部分入れ歯をご提案いたします。
入れ歯治療に伴うリスク・注意点について
- 金属を使用する入れ歯は金属アレルギーになる可能性があります。
- 選択された入れ歯の種類によっては、歯の切削や外科処置が必要になります。
- 入れ歯治療は選択された素材により自費診療となるため、治療費が高額になることがあります。
- 入れ歯を良い状態でお使いいただくためには、日々のケア、定期メインテナンスが重要となります。など
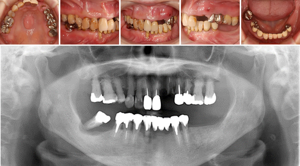
自費のコーヌスデンチャーで噛み合わせを回復した症例
こちらの患者さまは、「前歯がないから入れたい」「歯茎が腫れてくるのでなんとかして欲しい」「しっかり噛めない」との主訴で来院されました。
口腔内診査を行うと、歯周病も進行して奥歯がぐらぐらしていました。レントゲン検査の結果、上は右上1~3番、左上1番以外を抜歯、下は右下3~5番、左下3・4番以外は抜歯と診断しました。患者さまと相談し、インプラントはしたくないがしっかり治したい・噛みたいとのことでしたのでコーヌス冠を使った自費の入れ歯を製作することにしました。
完成した自費のコーヌスデンチャーです。コーヌスデンチャーは、残存歯に装着した内冠と入れ歯側の外冠を茶筒の原理で固定するため、安定性が高く、しっかり噛むことができます。
完成したコーヌスデンチャーをお口に装着し、治療完了です。咬合も安定しており、経過も順調です。
| 年齢・性別 | 60代 女性 |
|---|---|
| 治療期間 | 6ヵ月 |
| 治療回数 | 15回 |
| 治療費 | 上顎 コーヌスデンチャー 440,000円(税込) 下顎 コーヌスデンチャー 920,000円(税込) |
| リスク・注意点 | ・歯がダメになったら修理しないといけない |
合わない保険適用の入れ歯を自費の金属床入れ歯に新調した症例
こちらの患者さまは「入れ歯が大きくて気持ち悪い、なんとかしてほしい」「受け口(3級咬合)の状態を理想の咬み合わせ(1級咬合)に改善したい」との主訴で来院されました。
まずは保険適用の入れ歯を新調し、使っていただきました。そして後縁の長さを少しずつ削り、気持ち悪さと吸着の度合いを相談しながら決めていきました。
口腔内スキャナーにて採取したデータを基にコピーデンチャー(複製義歯)を作成しました。
コピーデンチャー(複製義歯)をお口に装着して咬座印象を行い、歯型を採取しました。
完成した金属床入れ歯です。念の為、後縁を少し調整できるようレジンにて覆っています。
完成した金属床入れ歯をお口に装着し、咬み合わせを調整して治療完了です。
| 年齢・性別 | 90代 女性 |
|---|---|
| 治療期間 | 4ヵ月 |
| 治療回数 | 10回 |
| 治療費 | 440,000円(税込) |
| リスク・注意点 | ・合わなくなった時に修理するのが難しい |
見た目・機能性・長持ちにこだわった精密な入れ歯を製作
吹田 いぬい歯科クリニックでは、患者さま一人ひとりのお口の合った精度の高い入れ歯の製作に努めております。入れ歯の見た目はもちろん、しっかり噛めることや長持ちにこだわり、様々な対策や工程に力を入れております。
実績豊富な歯科技工士へ製作を依頼

入れ歯などの技工物については、歯科医師が集めた情報を基に歯科技工士という職人が製作します。吹田 いぬい歯科クリニックでは、実績豊富な歯科技工士へ入れ歯の製作を依頼し、密にコミュニケーションを取ることによって、入れ歯の精度向上に努めております。
治療用義歯による口腔内環境の補正

顎骨の位置がずれていたり、顔が歪んだりしている状態で入れ歯を製作してしまうと、顎関節に負担がかかったり、すぐに入れ歯が合わなくなる可能性が高くなります。診断の際に問題が確認された場合は、事前に治療用の義歯で顎骨の位置や顔の歪みなどを補正してから、本入れ歯の製作へ進みます。
シリコン素材で精密な型取り

入れ歯の型取りの際は、型ズレが起こりにくいシリコーン材を使用いたします。ズレの少ない型を採取することによって、精密な入れ歯を製作することができます。
個人トレーを用いた筋圧形成

口腔内の筋肉などのデータを採取する筋圧形成の際は、患者さまのお口に合わせて製作した個人トレーを使用します。精度の高いデータを反映させることによって、入れ歯の適合性や機能性を高めることができます。
吹田市千里山にてよく噛める精密な入れ歯治療をご希望の方へ

吹田 いぬい歯科クリニックでは、患者さま一人ひとりのお口にぴったり合う快適な入れ歯の製作に努めております。見た目や機能性の向上、できるだけ長くお使いいただけるよう、精度を高めるための対策や工程にもこだわっております。吹田市千里山にて精密な入れ歯治療をご希望の方はぜひ、当院までお気軽にご相談ください。

















