小児矯正で骨格・歯並びを改善した症例
小児矯正で骨格・歯並びを改善した症例
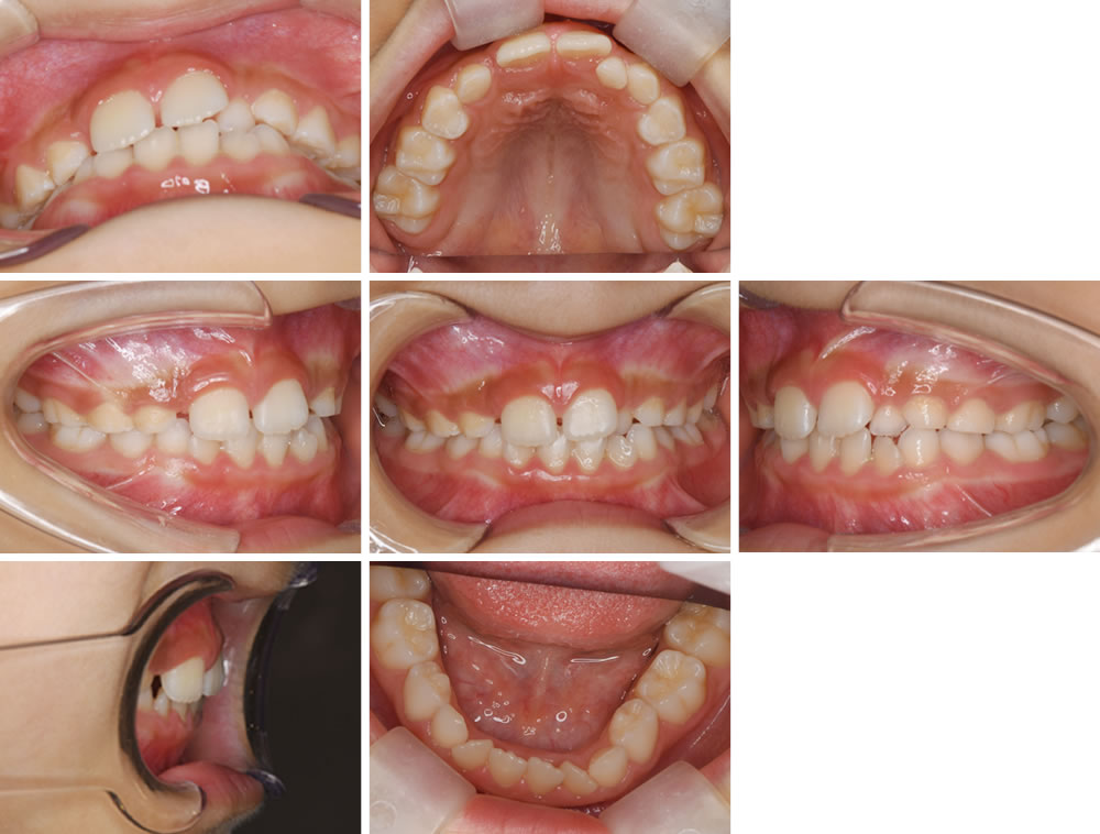
こちらの患者さまは、歯並びが気になるとの主訴で来院されました。将来のことも考え、小児矯正で骨格や歯並びを改善する計画を立てました。
矯正治療途中の口腔内写真です。歯の生え変わりに合わせて、歯並びと骨格を調整していきます。
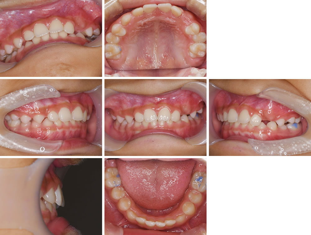
治療完了
治療完了時の状態です。顎の拡大、歯並びが改善されました。
治療前後のレントゲン写真です。治療前の状態はスペースが不足していましたが、顎骨を拡大したことによって綺麗に歯を並べることができました。
治療前後のセファロレントゲン画像です。治療前に比べて僅かですが、上顎が前に出ています。早い段階で小児矯正を行うことで、負担を抑えて骨格の問題も改善することができます。
※小児の場合、マウスピース矯正のインビザライン18ヵ月、エンジェルアライナーで24ヵ月しかできません。当院では12歳までフォローします。歯を動かすだけで骨格や呼吸も変わります。
| 年齢・性別 | 8歳 男児 (※初診時) |
|---|---|
| 治療期間 | 3年 |
| 治療回数 | 20回 |
| 治療費 | 小児矯正 600,000円(税込)※調整代込み |
| リスク・注意点 | ・途中すきっ歯になったり鼻が広がることがある。 |










